Nighttime Appliance Therapy for TMJ Facial Pain and Bruxism
I am often asked how I decide between recommending dual flat plane appliances or a single full coverage mandibular (lower) appliance to my patients who suffer from facial and muscle pain and TMJ in my private practice in Beverly Hills or to the patients in the program at the UCLA Orofacial Pain and Dental Sleep Medicine residency, where I am a clinical supervisor on Wednesday’s.
If a patient does not have an existing appliance, I look at the attrition, which are wear patterns, on the canines and/or the incisors, which are the front four teeth. If the patient has occlusal dysesthesia, takes an SSRI such as Prozac, Lexapro, Paxil, Zoloft, or if there is excessive wear from bruxism, which is a habitual grinding of teeth usually done during sleep, I know the better long term solution will be dual flat plane appliances since their teeth will abuse a single appliance because teeth and/or porcelain crowns are much harder than any nighttime appliance. Since dual flat plane appliances are flat, they do not wear out. If a patient has an existing appliance, if I see holes, cracks, or extreme wear patterns, I know the better long term solution will be dual flat plane appliances. Dual flat plane appliances are also a better long term choice for younger patients who have recently finished orthodontics since the appliances act as retainers, which eliminates the need for removal or fixed retainers. Dual flat plane appliances can also help reduce and possibly eliminate a clicking jaw joint(s).
Regarding the choice of making a single maxillary (upper) or mandibular (lower) appliance, research shows there is not much efficacy difference between the two. Having said that with all things being equal, the mandibular is smaller, does not take up the tongue space, and does not take up the airway space and is, therefore, more comfortable. However, one must consider the opposing dentition. If there are unopposed maxillary teeth then a maxillary appliance will help prevent supraeruption, which is when a tooth will continue to come out of its socket when it does not have a tooth to chew against.
This patient had a very loud eary click when opening. The temporomandibular disc was displaced anteriorly on both joints and when he opened the discs would click into place. Three tongue blades were placed on his back teeth and then I had him open and close from that position, which eliminated the click. Dual flat plane appliances were made to that vertical height. This was the appointment where he received the appliances and you can hear that it eliminated the clicking. These appliances are only worn at night and they are not designed to change the bite. There is always a chance the clicking can be eliminated if this treatment is started within a short period of time of the onset of the clicking.
Learn about the N-rest and daytime stretching with the gentle jaw.
How can I tell if I clench and/or grind my teeth?
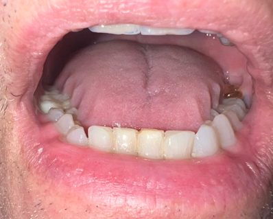
Some people clench, some people grind, and some people clench and grind. You can tell if you are a clencher by looking at your tongue to see if you see ridges on the sides of your tongue. All of these people have a “scalloped tongue,” which is indicative of clenching.




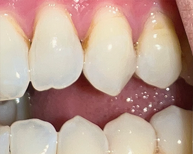
You can tell if you grind your teeth by looking at your canine teeth, which are typically pointing, which is why they are called canines.
This person does not grind since their canines are sharp.


These people do grind their teeth. Notice how flat the canine teeth are.




















Learn about the muscle referral patterns of the jaw closing muscles.
Learn about the muscle referral patterns of the muscles that refer pain into the TMJ.
Learn about Botox treatment for TMJ and TMD.
