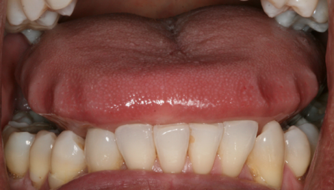
Signs of Sleep Apnea
Tongue scalloping is a sign of sleep apnea. Scalloping of the tongue is caused by one of two things. It caused by the involuntary action of pushing the tongue forward as a means of opening the airway. It is always caused by clenching of the teeth.

